Rodinné zdraví – jednoduché kroky ke zdravému úsměvu a pohodě

Každý den se setkáváme s rozhodnutími, která ovlivní zdraví celé rodiny. Někdy stačí malá změna v rutině, abychom předešli velkým problémům. Pojďme si ukázat, jak na to v praxi, ať už jde o zuby, stravu nebo pohyb.

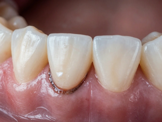
Prevence zubního kamene u dětí

Zubní kámen u dětí není jen kosmetický problém – může vést k zánětům dásní a bolestem. Nejlepší obrana je pravidelná péče. Čistěte dětem zuby dvakrát denně kartáčkem s měkkými štětinami a fluoridem. Nezapomeňte na mezizubní prostory, i když jsou malé – mezizubní kartáčky nebo dentální nit s jemnou texturou pomohou odstranit plak.

Strava hraje velkou roli. Omezte sladkosti a limonády, které podporují růst bakterií. Nabídněte čerstvé ovoce, zeleninu a mléčné výrobky. Vodu po jídle je jednoduchý trik, který vyplavuje zbytky cukru a pomáhá udržet ústa čistá.

Zdravá výživa pro celou rodinu

Jednoduché změny v jídelníčku mohou zlepšit úroveň energie i imunitu. Zařaďte do jídelníčku celozrnné produkty, bílkoviny a dostatek vitamínů. Snažte se, aby na talíři byly barevné porce – čím pestřejší, tím lépe pro zuby i tělo.

Nezapomeňte na společná jídla. Když rodina sedí spolu u stolu, je snazší sledovat, co se jí a učit děti zdravým návykům. Vyvarujte se jídla u televize – rozptýlení vede k rychlému a neuváženému přejídání.

Pravidelné návštěvy zubaře jsou další důležitou součástí péče. Děti si zvykají na kontrolu už od útlého věku, což jim usnadní budoucí ošetření. Doporučujeme domluvit se na termínu každých šest měsíců, i když nejsou žádné problémy.

Vytvořte si rodinný plán úklidu. Rozdělte úkoly tak, aby každý měl svůj podíl – například jeden den si děti čistí zuby, další den pomáhají s výběrem zdravých svačinek. Zapojení do procesu zvyšuje zodpovědnost.

Pokud se objeví první známky zubního kamene, nečekejte. Domácí metody nejsou dostatečné, a proto je dobré kontaktovat zubaře, který provede profesionální čištění. Rychlý zásah zabrání komplikacím a udrží úsměv bez nepříjemností.

Na konci dne je klíčové, aby se zdraví stalo součástí každodenního života, ne jen jednorázovou akcí. Když si všichni v rodině uvědomí, že péče o zuby a výživu jsou jednoduché a přinášejí výsledky, bude to motivovat k dalšímu úsilí.

Začněte dnes s malým krokem – třeba s čistěním zubů po večeři. Každý další krok bude snazší, a brzy uvidíte rozdíl v úsměvech a energii celé rodiny.

Jak se zbavit zubního kamene u dětí: Efektivní prevence a léčba

Jak se zbavit zubního kamene u dětí: Efektivní prevence a léčba

Tento článek poskytuje komplexní pohled na problém zubního kamene u dětí. Odhaluje příčiny jeho vzniku, způsoby prevence a možnosti léčby. Zároveň nabízí praktické tipy a rady, jak udržet ústní hygienu dětí na co nejvyšší úrovni a předcházet tak vzniku nežádoucích ústních problémů. Čtenář se také může seznámit s nejnovějšími poznatky a metodami v péči o zuby a dásně u nejmenších.

číst více