Jak rychle roste zubní kaz? Co se děje uvnitř zubu, když se objeví černý zubní kámen

Kalkulačka rychlosti růstu zubního kazu

Zjistěte, jak rychle se může rozvíjet zubní kaz na základě vašich denních návyků a hygieny. Vaše odpovědi pomohou vyhodnotit riziko a upozornit na důležité opatření před tím, než bude pozdě.

Výpočet rychlosti růstu zubního kazu

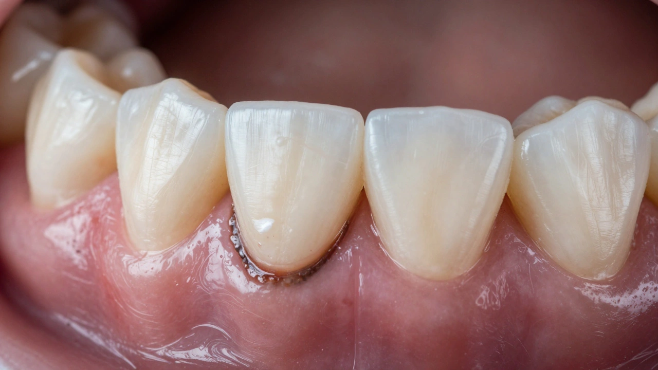
Černý zubní kámen na zubech není jen estetický problém. Je to varovný signál, že zubní kaz už dělá velké škody. A když ho všimnete, je už pozdě na jednoduché řešení. Otázka zní: jak rychle roste zubní kaz? A proč se někdy zdá, že za týden se z malé černé skvrnky stala díra, která bolela celou noc?

Zubní kaz se neobjeví najednou - ale rychle se rozvine, když ho ignorujete

Zubní kaz není náhodný úraz. Je to pomalý, ale neúprosný proces, který začíná na povrchu zubu. Bakterie ve vaší ústní dutině přeměňují cukry z jídla na kyseliny. Tyto kyseliny začnou roztáčet minerály z vašeho zubního emailu. Na začátku je to jen bílá skvrna - známka, že zub ztrácí vápník. Většina lidí to přehlédne. Nebo si myslí, že to projde samo.

Ale když nečistíte zuby pravidelně, nebo když jíte často sladké nebo kyselé věci, bakterie mají neustálý přístup k potravě. A když se kyselina vytváří opakovaně, email začíná praskat. Když se zubní kaz dostane pod povrch, už se nezastaví sám. A to je bod, kdy se začíná dít to, co vidíte jako černý zubní kámen.

Černý zubní kámen je výsledek - ne příčina

Mnoho lidí si myslí, že černý zubní kámen je to, co způsobuje kaz. To je nesprávné. Černý zubní kámen je vedlejší produkt dlouhodobého zanedbávání ústní hygieny. Je to hromada zatvrdlého plaku, který se zbarvil díky potravě, tabáku nebo kávě. Když se tento kámen vytvoří, stává se jakousi ochrannou vrstvou - ale ne pro zub. Pro bakterie.

Ten černý kámen nejen chrání bakterie před čištěním, ale také drží kyselinu těsně u povrchu zubu. Výsledek? Kaz se rozšiřuje pod kámen, zatímco na povrchu vidíte jen tmavou skvrnu. To je důvod, proč vás zubní lékař někdy překvapí: „Máte díru pod kamenem, která už sahá k zubnímu nervu.“

Na jak dlouho trvá, než se z jednoduché bílé skvrny stane černý kámen s hlubokým kazem? V praxi to může být jen 3 až 6 měsíců. Pokud máte tendenci k tvorbě plaku, jíte často sladké svačiny nebo pijete sladké nápoje, může se to stát i za 2 měsíce. Není to pomalý proces - je to proces, který se zrychluje, když ho nezastavíte.

Co zrychluje růst kazu? Pět hlavních faktorů

Někdo má zuby, které se kazí rychle. Někdo si může dovolit jíst cukr a zuby mu nebolí desítky let. Proč? Je to kombinace pěti věcí:

  1. Frekvence jídla - Jíst 5x denně, i když je to jen jogurt nebo sušenka, znamená 5x denně vypouštět kyselinu do úst. Zuby nemají čas se zotavit.
  2. Typ potravy - Sladké nápoje, sušenky, ovoce v konzervách a sladké čaje jsou nejhorší. Kyselé nápoje jako limonády nebo energetické nápoje roztavují email i bez cukru.
  3. Hygiena - Čištění zubů jen ráno je dostatečné? Ne. Bakterie se množí během noci. Pokud nečistíte zuby večer, kyselina pracuje celou noc.
  4. Slabý slinný tok - Pokud máte suché ústa - kvůli lékům, stresu nebo dýchání ústy - slina nemůže neutralizovat kyselinu. Slina je vaše přirozená ochrana.
  5. Genetika - Někteří lidé mají tenčí email nebo méně odolné zuby. To neznamená, že jsou odsouzeni - ale znamená to, že potřebují větší pozornost.

Některé z těchto věcí můžete změnit. Jiné ne. Ale všechny se dají kompenzovat pravidelnou péčí.

Průřez zubu ukazující šíření kazu pod zubním kamenem.

Když už máte černý zubní kámen, co dělat?

Nemůžete ho odstranit doma. Žádná zubní pasta, ani bicí sodná, ani vodní proužek vám nepomůže. To je pevně zatvrdlý vápenitý nános, který se vytvořil během měsíců. Ať už je černý, hnědý nebo žlutý - potřebuje profesionální odstranění.

Zubní lékař použije ultrazvukový skrabák nebo ruční nástroje, aby kámen odstranil. To je bezbolestné a trvá 20-40 minut. Ale to je jen první krok. Po odstranění kamenů se zubní lékař podívá na zuby pod nimi. Pokud je tam kaz, musí ho vyčistit a vyplnit. Pokud už kaz sahá k nervu, může být potřeba kořenové ošetření.

Nečekáte, až vás zub bolí. To je chyba. Černý kámen je vaše výstraha. Nečekání znamená vyšší náklady, větší bolest a delší léčbu.

Jak zpomalit růst kazu? Praktický plán pro každý den

Nejde o to, aby jste byli dokonalí. Jde o to, aby jste byli konzistentní. Tady je to, co funguje:

  • Čistěte zuby dvakrát denně - ráno a večer. Používejte zubní kartáček s měkkými štětinami a fluoridovou pastou. Nečistěte hned po jídle, pokud jste jeli něco kyselého. Počkejte 30 minut, aby se email zotavil.
  • Používejte nit - Každý večer. Nit odstraní plak mezi zuby, kde kartáček nedosáhne. To je místo, kde se kaz často začíná.
  • Nejedte sladké mezi jídly - Pokud chcete něco sníst, dejte si to jako součást jídla. Tím zkrátíte dobu, kdy jsou vaše zuby vystaveny kyselině.
  • Pijte vodu - Zvláště po jídle. Voda vyplaví zbytky potravy a zvyšuje slinný tok.
  • Navštěvujte zubního lékaře každých 6 měsíců - Nejen pro čištění. Pro kontrolu. Většina kazu se dá zachytit na stadiu bílé skvrny - a tenhle kazu se dá obrátit.

Nezapomeňte: pokud máte černý zubní kámen, vaše ústní hygiena je už v požární nouzi. Neřešte to jen s pastou. Potřebujete plán, který zahrnuje všechny kroky.

Ruka s kartáčkem a stínovým růstem kazu pod zubem.

Co se stane, když to ignorujete?

Ignorování černého zubního kamene a kazu vede k třem věcem:

  1. Ztráta zubu - Když kaz sahá až k kořeni, zub se rozpadne. A když je zub ztracen, zbylé zuby se posunou. To může způsobit problémy s žvýkáním a dokonce i s tváří.
  2. Infekce - Bakterie z kazu se mohou dostat do krevního oběhu. To zvyšuje riziko zánětů srdce, cév nebo i cukrovky.
  3. Vyšší náklady - Vyplnění kazu stojí 1 500-3 000 Kč. Kořenové ošetření 4 000-8 000 Kč. Náhrada zubu implantací nebo mostem může stát 15 000 Kč a více. A to všechno za to, že jste nečistili zuby dvakrát denně.

Nejlevnější léčba je ta, kterou necháte být. Ale ta je nejdražší na dlouhý termín.

Ještě jednou: jak rychle roste zubní kaz?

Zubní kaz se neobjeví za noc. Ale může se stát nevyléčitelným za pár měsíců. Černý zubní kámen je nejviditelnější znamení, že jste přehlíželi výstrahy. Nečekáte, až vás zub bolí. Nečekáte, až se vám zub zlomí. Když vidíte tmavou skvrnu na zubu, je čas jít k lékaři. Ne za týden. Ne za měsíc. Teď.

První krok je jednoduchý: zkontrolujte si zuby v zrcadle. Pokud vidíte něco tmavého na zubech, nebo pokud vás něco trápí - neváhejte. Navštivte zubního lékaře. To, co dnes stojí 20 minut a 500 Kč, vám může ušetřit tisíce a bolest, která vás bude trápit měsíce.

Jak rychle se rozvine zubní kaz od první skvrnky?

Zubní kaz se může rozvinout z bílé skvrnky na hluboký kaz za 3-6 měsíců, pokud není zastaven. U lidí s častým příjmem cukru nebo suchými ústy se to může stát i za 2 měsíce. Nejrychlejší růst nastává, když se plak neodstraňuje a zuby nejsou čištěny večer.

Je černý zubní kámen stejný jako zubní kaz?

Ne. Černý zubní kámen je zatvrdlý plak, který se zbarvil. Zubní kaz je poškození zubního emailu a dentinu způsobené kyselinou. Kámen nezpůsobuje kaz, ale chrání bakterie, které kaz způsobují. Černý kámen je tedy indikátorem, že kaz už pravděpodobně probíhá pod ním.

Můžu odstranit černý zubní kámen doma?

Ne. Domácí metody jako bicí soda, ocet nebo zubní kartáčky s tvrdými štětinami neodstraní zatvrdlý kámen. Mohou zub poškodit. Pouze zubní lékař má nástroje, které kámen bezpečně odstraní - ultrazvukový skrabák nebo ruční nástroje. To je bezbolestný a rychlý postup.

Proč se zubní kaz někdy nebolejí, i když je hluboký?

Zubní kaz nebolejí, dokud nezasáhne nerv. Když je kaz jen v emailu nebo dentinu, může být bezbolestný. Ale jakmile se dostane k nervu, začne infekce a bolest. To je důvod, proč se lidé překvapují - když už bolí, je pozdě na jednoduché vyplnění.

Kolik stojí odstranění zubního kamene a vyplnění kazu?

Odstranění zubního kamene stojí 800-1 500 Kč. Vyplnění jednoduchého kazu 1 500-3 000 Kč. Pokud je kaz hluboký nebo se nachází pod kamenem, cena může stoupat na 4 000-8 000 Kč za kořenové ošetření. Časná intervence je vždy levnější.

Jaroslav Vrba

Jaroslav Vrba

Jsem stomatolog se specializací na pečení zuby a oralní zdraví. Svou práci miluji a snažím se svým pacientům poskytnout nejlepší péči. Když nepracuji v ordinaci, rád píšu o důležitosti péče o zuby a dobré stravování pro oralní zdraví. Mým cílem je vyučovat lidi správné zubní hygieně a vytvářet povědomí o významu péče o zuby.

zobrazit všechny příspěvky